Overslaan en naar de inhoud gaan
VUB logo in blue with white letters
Logo Vrije Universiteit Brussel Logo Vrije Universiteit Brussel
  • Studeren

    Study

    • Menu group
      • Opleidingen
        • Vind je opleiding
        • Brochures
        • Highlighted menu group
        • Werkstudenten
        • Persoonlijke ontwikkeling tijdens je opleiding
        • Levenslang leren
        • Cursussen
        • Taalopleidingen
      • Waarom VUB?
        • Campusleven
        • Onderwijs op maat
        • In de Europese hoofdstad Brussel
        • Kwaliteitsvol onderwijs
      • Studiekeuze en voorbereiden
        • Studiekeuzetool
        • Voorkennis en voorbereiden
        • Begeleiding bij je studiekeuze
        • Activiteiten voor studiekiezers
        • Brochures
      • Iedereen welkom
        • Divers en inclusief
        • Studeren in bijzondere situaties
        • Eerstejaars aan de VUB
        • Topsporters
        • Leerlingen uit het 6e middelbaar
        • Internationale studenten
      • Aanmelden en inschrijven
        • Hoe aanmelden
        • Toelatingsvoorwaarden en deadlines
        • Wat na je inschrijving?
        • Toelatingsexamen en starttoetsen
        • Starten in het 2de semester
      • Praktisch
        • Op kot
        • Welzijn en gezondheid
        • Studiebegeleiding
        • Infopunt Studenten
        • Hoeveel kost studeren?
        • Studentenadministratie
        • Les- en examenroosters
        • Boeken en cursussen
        • E-tools en portalen
        • Reglementen en verzekeringen
        • Afstuderen aan de VUB
        • Opmerkingen en klachten
        • Examens en deliberatie
      • Over ons onderwijs
        • Visie en beleid
        • Onderwijskwaliteit
    • Menu group
    • Menu group
  • Ons onderzoek

    Research

    • Menu group
      • Baanbrekend onderzoek aan de VUB
        • Onderzoek in cijfers
        • Onderzoeker worden aan de VUB?
        • Excellent onderzoek aan de VUB
        • Onze onderzoeksgroepen
        • Ons wetenschapsmagazine
        • Video’s en podcasts wetenschappers
      • Visie en missie
        • Optimale onderzoeksomgeving
        • Internationale en interdisciplinaire onderzoekscultuur
        • Participatief en community-based onderzoek
        • Inclusieve, open en netwerkende gemeenschap van onderzoekers
      • Beleid en structuur
        • Onderzoeksadministratie
        • Ethische Commissies & Data Protection Office
        • Onderzoeksraad
      • Doctoreren
        • Doctoraatstraject
        • Doctoraatsopleiding en Doctoral Schools
        • Verdedigingen
  • Samen innoveren

    Innovation

    • Menu group
      • Innovatie in de kijker
      • Innoveren aan de VUB
        • Ons wetenschapsmagazine
      • Samenwerken met de VUB
        • Visie
        • Technologieën en expertises
        • Licentieopportuniteiten
        • Spin-off portfolio
        • Incubatoren & onderzoeksparken
      • Starten met ondernemen
        • Ondernemerschap studeren
        • Hoe start ik een spin-off?
        • Infrastructuur
        • Student-ondernemers
      • Onderzoek valoriseren
        • Hoe onderzoek valoriseren?
        • Ondersteuning
  • Internationale relaties

    International

    • Menu group
      • Projecten & Opleidingen
      • Wat we doen & hoe je ons kan bereiken
        • Universitaire Ontwikkelingssamenwerking
        • Vluchtelingstudenten & academici in risicosituaties
        • Toekomstige internationale studenten
        • Onthaal Internationale Relaties
        • Contact
        • Uitwisselings- & Erasmusprojecten
      • Internationale samenwerking
        • Partners & netwerken
        • Kennishubs

Main navigation

  • Over de VUB
    • Universiteit van de toekomst
      • Urban engaged university
      • Compassionate university
      • De Wereld Heeft Je Nodig
      • Werken aan duurzaamheid
      • Werken aan inclusie
      • Werken aan welzijn
      • Verbonden met Brussel, Europa en de wereld
    • Publieksprogramma
      • 40-jaar-AI
      • Pauwels Academy of Critical Thinking
    • Historiek en gedachtegoed
      • Onze prorectoren
      • Hoe het begon
      • 50 jaar VUB
      • Hier staan we voor
    • Doctores Honoris Causa
    • Partners & netwerken
      • Alumni
      • Leerstoelen met bedrijven
      • Fellowship
      • Brusselse onderwijspartners
      • Internationale samenwerking
    • Organisatie
      • Bestuurs- en overlegorganen
      • Dagelijkse leiding
    • Kerngegevens
      • Algemeen Strategisch Plan
      • Jaarverslag
      • Feiten en cijfers
      • Academische kalender
      • Visuele identiteit
    • Faculteiten, instituten en campussen
      • Onze faculteiten
      • Instituten, academies & centra
      • Campussen
      • Virtuele campusrondleiding
      • Campusontwikkelingen
      • Campustoegang en parkeren
  • VUB voor iedereen
    • Cultuur
      • VUB Koor
      • Pilar
      • Humanistisch Sculpturenpark
    • Mobiliteit en bereikbaarheid
      • Met de auto
      • Met de fiets
      • Met het openbaar vervoer
      • Te voet
    • Verzetspad
      • Aloïs Gerlo
      • Alter Chil Pasternak
      • Andrée de Jonghe
      • Arnaud Fraiteur
      • Elsie Maréchal
      • Fernand Demany
      • Fernande Volral
      • Frans Lenaerts
      • Frans van den Dungen
      • Hava Jospa-Groisman
      • Isidore Bataboudila
      • Jean Burgers
      • Jean Franckson
      • Jean-Baptiste De Schrijver
      • Karel Cuypers
      • Leopold Flam
      • Lydia Deveen
      • Marguerite Bervoets
      • Reine Borms
      • Rie Goethals
      • Rudolf Schönberg
      • Régine Karlin-Orfinger
      • Suzanne Spaak
      • Walter Debrock
      • Youra Livschitz
      • Yvonne Nèvejean
      • Zenitta Tazieff-Vivier
    • Natuur op onze campussen
    • Universiteitsbibliotheek en Universiteitsarchief
      • Centrale bibliotheek
      • Medische bibliotheek
      • CAVA Universiteitsarchief
    • Kinderdagverblijven
      • Praktische informatie
      • Kinderdagverblijf Etterbeek
      • Kinderdagverblijf Jette
    • Organiseer een activiteit op de campus
      • Aanvraag activiteit VUB Main Campus
      • Aanvraag activiteit VUB Health Campus
      • Aanvraag buitenactiviteiten
      • AV Services - Eventondersteuning
      • Promotie voeren op de campus
      • Huur culturele zalen bij Pilar
      • Huur sportinfrastructuur
    • Campusbeheer
      • Infradesk
      • Diensten campusbeheer
    • Eten en drinken
      • VUB-restaurant Etterbeek
      • VUB-restaurant Jette
      • Overige campushoreca
      • Catering
      • Duurzaam eten en drinken
    • Sport en beweging aan de VUB
      • Visie en Missie
      • Sportinfrastructuur
      • Basic Fit Jette
      • Ons sportaanbod
      • Sportcompetities
      • Praktische Info
    • Gezondheid en veiligheid
      • Huisartsen
      • Tandartsen
      • Universitair Ziekenhuis en specialisten
      • Medische en psychosociale dienstverlening
      • Hulp en security
      • Meldpunten
    • Andere dienstverlening
      • Overnachten op en rond de campus
      • Winkels en kopiecentra
      • bpost pakjesautomaten
    • Voor organisaties en bedrijven
      • Samenwerken met de VUB
      • Promotie voeren op de campus
      • Studentenjobs, stages en vacatures
      • Info voor leveranciers
      • Lokaalverhuur
  • Werken voor de VUB
    • Breed jobaanbod
      • HR Excellence procedures
      • Hoe solliciteren
    • Waarom werken voor de VUB?
      • Een 10 voor sfeer en gezelligheid
      • Inspirerende ontmoetingen
    • VUB'ers in beeld
    • Arbeidsvoorwaarden en voordelen
    • Onboarding
    • Internationale carrière
      • Verblijven en werken in België
      • Verblijfsvergunning
      • Sociale zekerheid en belastingen
      • Bankrekening
      • Gezondheidszorg
      • Het leven in België
      • Huisvesting
  • Steun de VUB
    • De VUB Foundation
    • Steun de VUB met een gift
      • Doe een gift
      • Zamel geld in
    • Nalaten aan de VUB
    • Leerstoelen
      • Actieve leerstoelen
    • Fiscale voordelen
    • Contact
  • Scholen & leerkrachten
    • Aanbod voor leerkrachten
    • Aanbod voor leerlingen en klassen
  • VUB-Alumni
    • Alumni aanbod
      • Campusvoordelen
      • Online voordelen
      • VUB merchandise
      • Digitale alumnipas
      • Ondersteuning bij events
      • Loopbaaninspiratie
      • Kopie van je diploma
      • Sterk alumni-netwerk
    • VUB-alumninetwerk
      • VUB-alumniverenigingen
      • Internationale VUB-alumniverenigingen
      • Wall of Faces
      • LinkedIn
      • Mentors & professionals
    • Word actieve alumnus
      • Discussieforum Dedicated Thinkers
      • Mentors & Professionals
      • Solliciteer bij je alma mater
    • Voor pas afgestudeerden
      • Tips voor je cv en motivatiebrief
      • Tips voor een sterk LinkedIn-profiel
      • Inspiratie via onze Mentors & Professionals
      • Carrièrebegeleiding
      • Vacatures aan de VUB
      • Jobplatform & database
    • VUB Alumni Office
  • Nieuws
  • Kalender
Ga naar overzicht
Ga naar overzicht
nl
  • en
  • Studeren

    Primary menu Study

    • Menu group
      • Opleidingen
        • Vind je opleiding
        • Brochures
        • Highlighted menu group
        • Werkstudenten
        • Persoonlijke ontwikkeling tijdens je opleiding
        • Levenslang leren
        • Cursussen
        • Taalopleidingen
      • Waarom VUB?
        • Campusleven
        • Onderwijs op maat
        • In de Europese hoofdstad Brussel
        • Kwaliteitsvol onderwijs
      • Studiekeuze en voorbereiden
        • Studiekeuzetool
        • Voorkennis en voorbereiden
        • Begeleiding bij je studiekeuze
        • Activiteiten voor studiekiezers
        • Brochures
      • Iedereen welkom
        • Divers en inclusief
        • Studeren in bijzondere situaties
        • Eerstejaars aan de VUB
        • Topsporters
        • Leerlingen uit het 6e middelbaar
        • Internationale studenten
      • Aanmelden en inschrijven
        • Hoe aanmelden
        • Toelatingsvoorwaarden en deadlines
        • Wat na je inschrijving?
        • Toelatingsexamen en starttoetsen
        • Starten in het 2de semester
      • Praktisch
        • Op kot
        • Welzijn en gezondheid
        • Studiebegeleiding
        • Infopunt Studenten
        • Hoeveel kost studeren?
        • Studentenadministratie
        • Les- en examenroosters
        • Boeken en cursussen
        • E-tools en portalen
        • Reglementen en verzekeringen
        • Afstuderen aan de VUB
        • Opmerkingen en klachten
        • Examens en deliberatie
      • Over ons onderwijs
        • Visie en beleid
        • Onderwijskwaliteit
    • Menu group
    • Menu group
  • Ons onderzoek

    Primary menu Research

    • Menu group
      • Baanbrekend onderzoek aan de VUB
        • Onderzoek in cijfers
        • Onderzoeker worden aan de VUB?
        • Excellent onderzoek aan de VUB
        • Onze onderzoeksgroepen
        • Ons wetenschapsmagazine
        • Video’s en podcasts wetenschappers
      • Visie en missie
        • Optimale onderzoeksomgeving
        • Internationale en interdisciplinaire onderzoekscultuur
        • Participatief en community-based onderzoek
        • Inclusieve, open en netwerkende gemeenschap van onderzoekers
      • Beleid en structuur
        • Onderzoeksadministratie
        • Ethische Commissies & Data Protection Office
        • Onderzoeksraad
      • Doctoreren
        • Doctoraatstraject
        • Doctoraatsopleiding en Doctoral Schools
        • Verdedigingen
  • Samen innoveren

    Primary menu Innovation

    • Menu group
      • Innovatie in de kijker
      • Innoveren aan de VUB
        • Ons wetenschapsmagazine
      • Samenwerken met de VUB
        • Visie
        • Technologieën en expertises
        • Licentieopportuniteiten
        • Spin-off portfolio
        • Incubatoren & onderzoeksparken
      • Starten met ondernemen
        • Ondernemerschap studeren
        • Hoe start ik een spin-off?
        • Infrastructuur
        • Student-ondernemers
      • Onderzoek valoriseren
        • Hoe onderzoek valoriseren?
        • Ondersteuning
  • Internationale relaties

    Primary menu International

    • Menu group
      • Projecten & Opleidingen
      • Wat we doen & hoe je ons kan bereiken
        • Universitaire Ontwikkelingssamenwerking
        • Vluchtelingstudenten & academici in risicosituaties
        • Toekomstige internationale studenten
        • Onthaal Internationale Relaties
        • Contact
        • Uitwisselings- & Erasmusprojecten
      • Internationale samenwerking
        • Partners & netwerken
        • Kennishubs

Main navigation

  • Over de VUB
    • Universiteit van de toekomst
      • Urban engaged university
      • Compassionate university
      • De Wereld Heeft Je Nodig
      • Werken aan duurzaamheid
      • Werken aan inclusie
      • Werken aan welzijn
      • Verbonden met Brussel, Europa en de wereld
    • Publieksprogramma
      • 40-jaar-AI
      • Pauwels Academy of Critical Thinking
    • Historiek en gedachtegoed
      • Onze prorectoren
      • Hoe het begon
      • 50 jaar VUB
      • Hier staan we voor
    • Doctores Honoris Causa
    • Partners & netwerken
      • Alumni
      • Leerstoelen met bedrijven
      • Fellowship
      • Brusselse onderwijspartners
      • Internationale samenwerking
    • Organisatie
      • Bestuurs- en overlegorganen
      • Dagelijkse leiding
    • Kerngegevens
      • Algemeen Strategisch Plan
      • Jaarverslag
      • Feiten en cijfers
      • Academische kalender
      • Visuele identiteit
    • Faculteiten, instituten en campussen
      • Onze faculteiten
      • Instituten, academies & centra
      • Campussen
      • Virtuele campusrondleiding
      • Campusontwikkelingen
      • Campustoegang en parkeren
  • VUB voor iedereen
    • Cultuur
      • VUB Koor
      • Pilar
      • Humanistisch Sculpturenpark
    • Mobiliteit en bereikbaarheid
      • Met de auto
      • Met de fiets
      • Met het openbaar vervoer
      • Te voet
    • Verzetspad
      • Aloïs Gerlo
      • Alter Chil Pasternak
      • Andrée de Jonghe
      • Arnaud Fraiteur
      • Elsie Maréchal
      • Fernand Demany
      • Fernande Volral
      • Frans Lenaerts
      • Frans van den Dungen
      • Hava Jospa-Groisman
      • Isidore Bataboudila
      • Jean Burgers
      • Jean Franckson
      • Jean-Baptiste De Schrijver
      • Karel Cuypers
      • Leopold Flam
      • Lydia Deveen
      • Marguerite Bervoets
      • Reine Borms
      • Rie Goethals
      • Rudolf Schönberg
      • Régine Karlin-Orfinger
      • Suzanne Spaak
      • Walter Debrock
      • Youra Livschitz
      • Yvonne Nèvejean
      • Zenitta Tazieff-Vivier
    • Natuur op onze campussen
    • Universiteitsbibliotheek en Universiteitsarchief
      • Centrale bibliotheek
      • Medische bibliotheek
      • CAVA Universiteitsarchief
    • Kinderdagverblijven
      • Praktische informatie
      • Kinderdagverblijf Etterbeek
      • Kinderdagverblijf Jette
    • Organiseer een activiteit op de campus
      • Aanvraag activiteit VUB Main Campus
      • Aanvraag activiteit VUB Health Campus
      • Aanvraag buitenactiviteiten
      • AV Services - Eventondersteuning
      • Promotie voeren op de campus
      • Huur culturele zalen bij Pilar
      • Huur sportinfrastructuur
    • Campusbeheer
      • Infradesk
      • Diensten campusbeheer
    • Eten en drinken
      • VUB-restaurant Etterbeek
      • VUB-restaurant Jette
      • Overige campushoreca
      • Catering
      • Duurzaam eten en drinken
    • Sport en beweging aan de VUB
      • Visie en Missie
      • Sportinfrastructuur
      • Basic Fit Jette
      • Ons sportaanbod
      • Sportcompetities
      • Praktische Info
    • Gezondheid en veiligheid
      • Huisartsen
      • Tandartsen
      • Universitair Ziekenhuis en specialisten
      • Medische en psychosociale dienstverlening
      • Hulp en security
      • Meldpunten
    • Andere dienstverlening
      • Overnachten op en rond de campus
      • Winkels en kopiecentra
      • bpost pakjesautomaten
    • Voor organisaties en bedrijven
      • Samenwerken met de VUB
      • Promotie voeren op de campus
      • Studentenjobs, stages en vacatures
      • Info voor leveranciers
      • Lokaalverhuur
  • Werken voor de VUB
    • Breed jobaanbod
      • HR Excellence procedures
      • Hoe solliciteren
    • Waarom werken voor de VUB?
      • Een 10 voor sfeer en gezelligheid
      • Inspirerende ontmoetingen
    • VUB'ers in beeld
    • Arbeidsvoorwaarden en voordelen
    • Onboarding
    • Internationale carrière
      • Verblijven en werken in België
      • Verblijfsvergunning
      • Sociale zekerheid en belastingen
      • Bankrekening
      • Gezondheidszorg
      • Het leven in België
      • Huisvesting
  • Steun de VUB
    • De VUB Foundation
    • Steun de VUB met een gift
      • Doe een gift
      • Zamel geld in
    • Nalaten aan de VUB
    • Leerstoelen
      • Actieve leerstoelen
    • Fiscale voordelen
    • Contact
  • Scholen & leerkrachten
    • Aanbod voor leerkrachten
    • Aanbod voor leerlingen en klassen
  • VUB-Alumni
    • Alumni aanbod
      • Campusvoordelen
      • Online voordelen
      • VUB merchandise
      • Digitale alumnipas
      • Ondersteuning bij events
      • Loopbaaninspiratie
      • Kopie van je diploma
      • Sterk alumni-netwerk
    • VUB-alumninetwerk
      • VUB-alumniverenigingen
      • Internationale VUB-alumniverenigingen
      • Wall of Faces
      • LinkedIn
      • Mentors & professionals
    • Word actieve alumnus
      • Discussieforum Dedicated Thinkers
      • Mentors & Professionals
      • Solliciteer bij je alma mater
    • Voor pas afgestudeerden
      • Tips voor je cv en motivatiebrief
      • Tips voor een sterk LinkedIn-profiel
      • Inspiratie via onze Mentors & Professionals
      • Carrièrebegeleiding
      • Vacatures aan de VUB
      • Jobplatform & database
    • VUB Alumni Office
  • Nieuws
  • Kalender
Terug Ga naar overzicht

Kruimelpad

  1. Home
  2. Nieuwsoverzicht
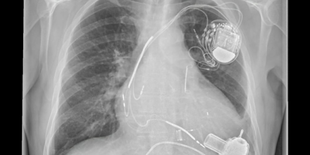
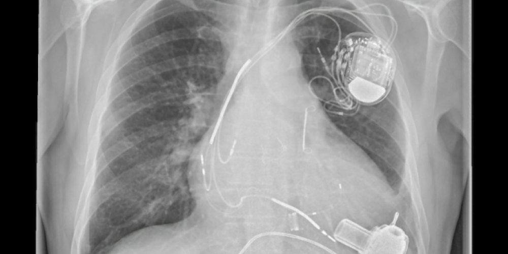
  3. Foutieve dosering van geneesmiddelen in medicijnenpomp kan fataal aflopen
nl
  • en
Nieuws
17 maart 2020

Foutieve dosering van geneesmiddelen in medicijnenpomp kan fataal aflopen

Share:
  • Facebook
  • Linkedin
  • Twitter

NULL

Lees meer over:
Maatschappij en engagement
Stond er een fout op deze pagina? Laat het ons weten
  • Snel naar
    • Webmail
    • Jobs
    • Lesroosters
    • Bereikbaarheid
    • Onderzoeksgroepen
    • Campusfaciliteiten
  • Info voor
    • Pers
    • Studenten
    • Personeel
    • PhD-studenten
    • Leerkrachten en secundaire scholen
    • Werkstudenten
    • Internationale studenten
  • Bewaking en noodnummers
    • Bewaking campus in Etterbeek
    • Bewaking campus in Jette
    • Noodnummer campus in Etterbeek
    • Noodnummer campus in Jette
Steun VUB

De VUB zet zich als Urban Engaged University in voor een betere wereld via onderzoek, onderwijs en maatschappelijke projecten. Ga samen met ons dit engagement aan. Steun onze werking en investeer mee in de maatschappij.

Ik doe mee

Pleinlaan 2 - 1050 Brussel - België
 

Privacybeleid       Contact